תסמונת עצם נביקולרית עודפת Accessory navicular syndrome

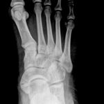
עצם נביקולרית נוספת קיימת מהלידה וקיימת בכ10 עד 15 אחוזים מהאוכלוסייה.
רק ב1% מהמקרים נגרמים סימפטומים ובמרבית האנשים עם עצם נביקולרית עודפת חיים חיים רגילים ולא מודעים לקיום העצם.


עצם נביקולרית נוספת קיימת מהלידה וקיימת בכ10 עד 15 אחוזים מהאוכלוסייה.
רק ב1% מהמקרים נגרמים סימפטומים ובמרבית האנשים עם עצם נביקולרית עודפת חיים חיים רגילים ולא מודעים לקיום העצם.
